
歯が重なり合って生えている状態のことをさし、八重歯や凹凸の歯並びのことです。海外では相当な不快感を人に与えてしまい、海外での生活・出世がしにくいともいわれています。

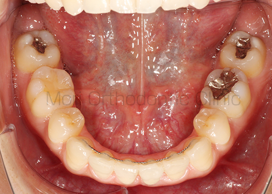
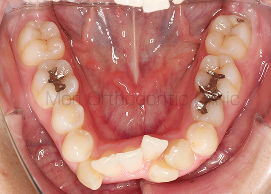
術前

術後

術前

術後

術前

術後

術前

術後

術前

術後
| 主訴 | 歯並びが悪い |
|---|---|
| 診断名 | AngleⅠ級叢生 |
| 年齢 | 15歳4か月 |
| 治療装置 | Multi-Bracket(表側矯正)、Q.H.、B.H. |
| 抜歯部位 | 非抜歯 |
| 治療期間 | 1年8か月 |
| 治療費 | 771,750円(税込) |
| リスク・副作用 | 矯正治療による歯の移動に伴う痛み、歯根吸収、歯肉退縮、虫歯 |

術前

術後

術前

術後

術前

術後

術前

術後

術前

術後
| 主訴 | 歯並び、八重歯 |
|---|---|
| 診断名 | AngleⅡ級叢生 |
| 年齢 | 30歳2か月 |
| 治療装置 | Multi-Bracket(表側矯正)、CARRIERE DISTALIZER |
| 抜歯部位 | 14,24,35,45 |
| 治療期間 | 2年1か月 |
| 治療費 | 825,120円(税込) |
| リスク・副作用 | 矯正治療による歯の移動に伴う痛み、歯根吸収、歯肉退縮、虫歯 |

術前

術後

術前

術後

術前

術後

術前

術後

術前

術後
| 主訴 | 歯並びが悪い、八重歯 |
|---|---|
| 診断名 | AngleⅡ級叢生 |
| 年齢 | 23歳6か月 |
| 治療装置 | Multi-Bracket(表側矯正)、歯科矯正用アンカースクリュー |
| 抜歯部位 | 14,24,34,44 |
| 治療期間 | 1年7か月 |
| 治療費 | 809,550円(税込) |
| リスク・副作用 | 矯正治療による歯の移動に伴う痛み、歯根吸収、歯肉退縮、虫歯 |

術前

術後

術前

術後

術前

術後

術前

術後

術前

術後
| 主訴 | 歯並びが悪い |
|---|---|
| 診断名 | AngleⅡ級叢生 |
| 年齢 | 24歳5か月 |
| 治療装置 | Multi-Bracket(表側矯正)、歯科矯正用アンカースクリュー |
| 抜歯部位 | 14,24,34,44 |
| 治療期間 | 2年1か月 |
| 治療費 | 795,900円(税込) |
| リスク・副作用 | 矯正治療による歯の移動に伴う痛み、歯根吸収、歯肉退縮、虫歯 |

術前

術後

術前

術後

術前

術後

術前

術後

術前

術後
| 主訴 | 歯並びが悪い、八重歯 |
|---|---|
| 診断名 | AngleⅡ級叢生 |
| 年齢 | 18歳6か月 |
| 治療装置 | Multi-Bracket(表側矯正)、歯科矯正用アンカースクリュー |
| 抜歯部位 | 14,24,34,45 |
| 治療期間 | 2年5か月 |
| 治療費 | 836,010円(税込) |
| リスク・副作用 | 矯正治療による歯の移動に伴う痛み、歯根吸収、歯肉退縮、虫歯 |

術前

術後

術前

術後

術前

術後

術前

術後

術前

術後
| 主訴 | 歯並びが悪い |
|---|---|
| 診断名 | 正中線の偏位を伴うAngleⅡ級叢生 |
| 年齢 | 21歳0か月 |
| 治療装置 | Multi-Bracket(ハーフリンガル)、歯科矯正用アンカースクリュー |
| 抜歯部位 | 15,24,35,44 |
| 治療期間 | 2年9か月 |
| 治療費 | 1,204,200円(税込) |
| リスク・副作用 | 矯正治療による歯の移動に伴う痛み、歯根吸収、歯肉退縮、虫歯 |

術前

術後

術前

術後

術前

術後

術前

術後

術前

術後
| 主訴 | 出っ歯、歯並びが悪い |
|---|---|
| 診断名 | AngleⅠ級叢生 |
| 年齢 | 21歳11か月 |
| 治療装置 | Multi-Bracket(フルリンガル) |
| 抜歯部位 | 14,24,34,44 |
| 治療期間 | 2年7か月 |
| 治療費 | 1,180,200円(税込) |
| リスク・副作用 | 矯正治療による歯の移動に伴う痛み、歯根吸収、歯肉退縮、虫歯 |
・歯の重なり合うところは歯磨きしにくく、虫歯になりやすくなります。
・歯周病(歯槽膿漏)になりやすくなります。
・口臭がでやすくなります。
・噛み合わせの悪い場合、顎を左右に動かす動作が不得意になり、顎が痛くなりやすくなります。
指定自立支援医療機関(育成医療・更生医療)、
顎口腔機能診断施設・歯科矯正診断施設
〒616-8104
京都府京都市右京区太秦下刑部町12番地サンサ右京1F
| 診療時間 | 月 | 火 | 水 | 木 | 金 | 土 | 日 |
|---|---|---|---|---|---|---|---|
| <午前> 10:30~12:30 |
● | ● | ● | - | ● | - | - |
| <午後> 15:30~20:00 |
● | ● | ● | - | ● | - | - |
| <午前> 10:00~13:00 |
- | - | - | - | - | ● | - |
| <午後> 14:00~18:00 |
- | - | - | - | - | ● | - |
| <日曜> 10:00~15:00 |
- | - | - | - | - | - | ● |
休診日:木曜・日曜(月1回 ※翌月曜休診)・祝日