
上の前歯が突出している歯並びです。歯の傾斜によって上顎前突になっているケースと、上顎全体が下顎に比べて大きく、口元に突出感が見られるケースがあります。

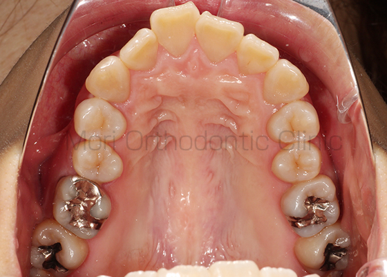
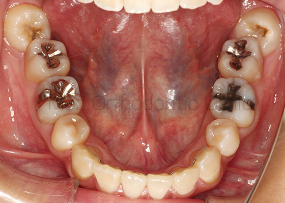
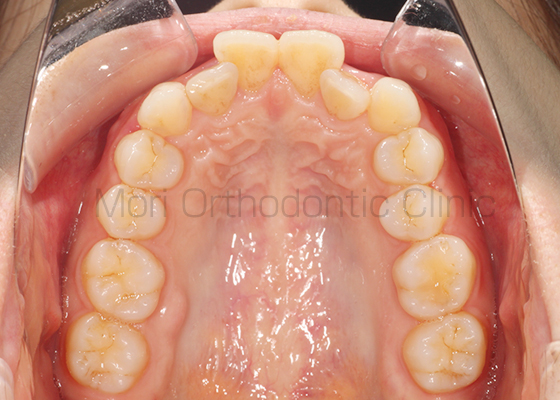
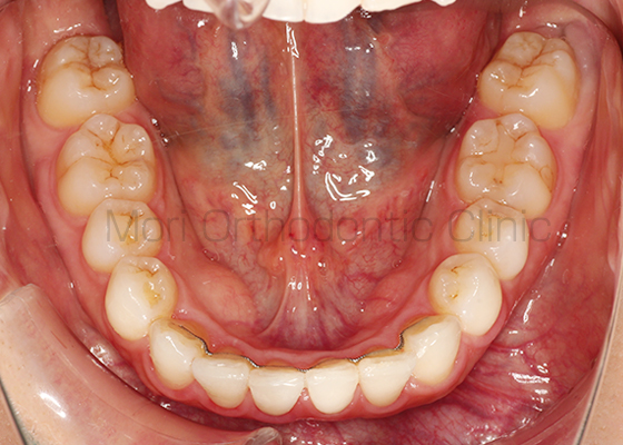
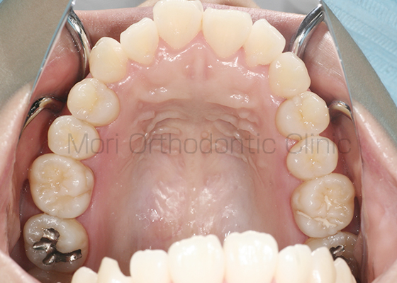
術前

術後

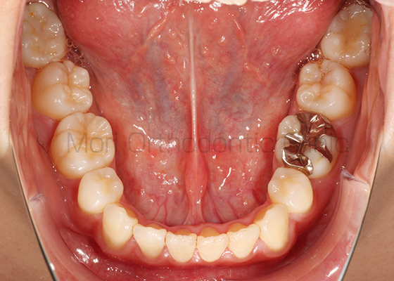
術前

術後

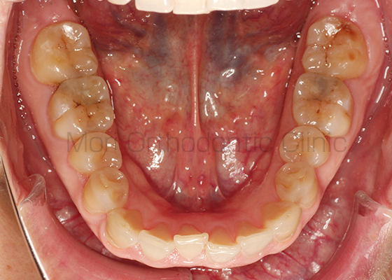
術前

術後

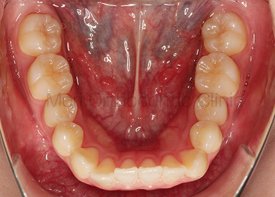
術前

術後

術前

術後
| 主訴 | 出っ歯、歯並びが悪い、前歯が噛み合わない |
|---|---|
| 診断名 | 叢生を伴うAngleⅡ級上顎前突 |
| 年齢 | 21歳5か月 |
| 治療装置 | Multi-Bracket(フルリンガル)、歯科矯正用アンカースクリュー |
| 抜歯部位 | 14,24,34,44 |
| 治療期間 | 2年8か月 |
| 治療費 | 1,166,400円(税込) |
| リスク・副作用 | 矯正治療による歯の移動に伴う痛み、歯根吸収、歯肉退縮、虫歯 |

術前

術後

術前

術後

術前

術後

術前

術後

術前

術後
| 主訴 | 出っ歯、前歯が噛み合わない |
|---|---|
| 診断名 | AngleⅡ級上顎前突 |
| 年齢 | 26歳7か月 |
| 治療装置 | Multi-Bracket(表側矯正)、歯科矯正用アンカースクリュー |
| 抜歯部位 | 14,24 |
| 治療期間 | 2年9か月 |
| 治療費 | 808,500円(税込) |
| リスク・副作用 | 矯正治療による歯の移動に伴う痛み、歯根吸収、歯肉退縮、虫歯 |

術前

術後

術前

術後

術前

術後

術前

術後

術前

術後
| 主訴 | 出っ歯 |
|---|---|
| 診断名 | 叢生を伴うAngleⅡ級上顎前突 |
| 年齢 | 24歳7か月 |
| 治療装置 | Multi-Bracket(表側矯正)、GMD、B.H.、L.A. |
| 抜歯部位 | 非抜歯 |
| 治療期間 | 3年0か月 |
| 治療費 | 814,800円(税込) |
| リスク・副作用 | 矯正治療による歯の移動に伴う痛み、歯根吸収、歯肉退縮、虫歯 |

術前

術後

術前

術後

術前

術後

術前

術後

術前

術後
| 主訴 | 出っ歯 |
|---|---|
| 診断名 | 正中線の偏位を伴うAngleⅡ級上顎前突 |
| 年齢 | 22歳4か月 |
| 治療装置 | Multi-Bracket(フルリンガル)、歯科矯正用アンカースクリュー |
| 抜歯部位 | 14,24,35,44 |
| 治療期間 | 2年6か月 |
| 治療費 | 1,116,480円(税込) |
| リスク・副作用 | 矯正治療による歯の移動に伴う痛み、歯根吸収、歯肉退縮、虫歯 |

術前

術後

術前

術後

術前

術後

術前

術後

術前

術後
| 主訴 | 歯並びが悪い |
|---|---|
| 診断名 | 叢生を伴うAngleⅡ級上顎前突 |
| 年齢 | 28歳9か月 |
| 治療装置 | Multi-Bracket(フルリンガル)、歯科矯正用アンカースクリュー、Q.H. 、PAOO |
| 抜歯部位 | 14,24 |
| 治療期間 | 2年1か月 |
| 治療費 | 1,446,660円(税込) |
| リスク・副作用 | 矯正治療による歯の移動に伴う痛み、歯根吸収、歯肉退縮、虫歯 |

術前

術後

術前

術後

術前

術後

術前

術後

術前

術後
| 主訴 | 歯並びが悪い、前歯が噛み合わない |
|---|---|
| 診断名 | AngleⅡ級上顎前突 |
| 年齢 | 22歳7か月 |
| 治療装置 | Multi-Bracket(表側矯正)、CARRIERE DISTALIZER |
| 抜歯部位 | 非抜歯 |
| 治療期間 | 1年6か月 |
| 治療費 | 780,840円(税込) |
| リスク・副作用 | 矯正治療による歯の移動に伴う痛み、歯根吸収、歯肉退縮、虫歯 |

術前

術後

術前

術後

術前

術後

術前

術後

術前

術後
| 主訴 | 歯並びが悪い |
|---|---|
| 診断名 | AngleⅡ級上顎前突 |
| 年齢 | 17歳2か月 |
| 治療装置 | Multi-Bracket(表側矯正)、CARRIERE DISTALIZER |
| 抜歯部位 | 非抜歯 |
| 治療期間 | 1年7か月 |
| 治療費 | 795,960円(税込) |
| リスク・副作用 | 矯正治療による歯の移動に伴う痛み、歯根吸収、歯肉退縮、虫歯 |

術前

術後

術前

術後

術前

術後

術前

術後

術前

術後
| 主訴 | 歯並び、口元の突出感 |
|---|---|
| 診断名 | 叢生を伴うAngleⅠ級上下顎前突 |
| 年齢 | 23歳6か月 |
| 治療装置 | Multi-Bracket(フルリンガル)、歯科矯正用アンカースクリュー |
| 抜歯部位 | 14,24,34,44 |
| 治療期間 | 2年2か月 |
| 治療費 | 1,220,100円(税込) |
| リスク・副作用 | 矯正治療による歯の移動に伴う痛み、歯根吸収、歯肉退縮、虫歯 |

術前

術後

術前

術後

術前

術後

術前

術後

術前

術後
| 主訴 | 歯並び、出っ歯 |
|---|---|
| 診断名 | 叢生を伴うAngleⅠ級上下顎前突 |
| 年齢 | 24歳0か月 |
| 治療装置 | Multi-Bracket(表側矯正)、歯科矯正用アンカースクリュー |
| 抜歯部位 | 14,24,34,44 |
| 治療期間 | 1年11か月 |
| 治療費 | 771,750円(税込) |
| リスク・副作用 | 矯正治療による歯の移動に伴う痛み、歯根吸収、歯肉退縮、虫歯 |

術前

術後

術前

術後

術前

術後

術前

術後

術前

術後
| 主訴 | 口元の突出感 |
|---|---|
| 診断名 | AngleⅡ級上下顎前突 |
| 年齢 | 38歳8か月 |
| 治療装置 | Multi-Bracket(フルリンガル)、歯科矯正用アンカースクリュー |
| 抜歯部位 | 15,24,34,44 |
| 治療期間 | 2年3か月 |
| 治療費 | 1,127,520円(税込) |
| リスク・副作用 | 矯正治療による歯の移動に伴う痛み、歯根吸収、歯肉退縮、虫歯 |

術前

術後

術前

術後

術前

術後

術前

術後

術前

術後
| 主訴 | 口元の突出感、出っ歯、前歯が噛み合わない |
|---|---|
| 診断名 | AngleⅠ級上下顎前突 |
| 年齢 | 19歳8か月 |
| 治療装置 | Multi-Bracket(フルリンガル)、TPA |
| 抜歯部位 | 14,24,34,44 |
| 治療期間 | 2年1か月 |
| 治療費 | 1,188,000円(税込) |
| リスク・副作用 | 矯正治療による歯の移動に伴う痛み、歯根吸収、歯肉退縮、虫歯 |
・歯周病(歯槽膿漏)が進行します。無意識に口を開けてしまい、睡眠時も口呼吸になりやすく、歯周病や呼吸器に影響を及ぼしやすくなります。
・口の乾燥により、口臭がおこりやすくなります。
・唾液が少なくなり、虫歯になりやすくなります。
・前歯を折りやすくなります。
・出っ歯の顔立ちになります。
・唾液が飛びやすくなります。
指定自立支援医療機関(育成医療・更生医療)、
顎口腔機能診断施設・歯科矯正診断施設
〒616-8104
京都府京都市右京区太秦下刑部町12番地サンサ右京1F
| 診療時間 | 月 | 火 | 水 | 木 | 金 | 土 | 日 |
|---|---|---|---|---|---|---|---|
| <午前> 10:30~12:30 |
● | ● | ● | - | ● | - | - |
| <午後> 15:30~20:00 |
● | ● | ● | - | ● | - | - |
| <午前> 10:00~13:00 |
- | - | - | - | - | ● | - |
| <午後> 14:00~18:00 |
- | - | - | - | - | ● | - |
| <日曜> 10:00~15:00 |
- | - | - | - | - | - | ● |
休診日:木曜・日曜(月1回 ※翌月曜休診)・祝日